Colonoscopia
Exploración completa del colon y recto para la detección oportuna de pólipos, tumores y otras condiciones. La herramienta más eficaz para prevenir el cáncer de colon.

¿Qué es la Colonoscopia?
La colonoscopia es un procedimiento que permite examinar el interior del colon (intestino grueso) y el recto utilizando un colonoscopio flexible con cámara de alta definición. Es el método más preciso para detectar y prevenir el cáncer colorrectal.
Durante el procedimiento, es posible realizar biopsias y retirar pólipos de forma inmediata, evitando procedimientos adicionales.
Indicaciones principales
- Tamizaje de cáncer de colon (mayores de 45 años)
- Sangrado rectal o sangre en heces
- Cambios en hábitos intestinales
- Dolor abdominal crónico
- Anemia por deficiencia de hierro
- Antecedentes familiares de cáncer colorrectal
- Vigilancia de pólipos previos
- Enfermedad inflamatoria intestinal
Hallazgos que Podemos Detectar

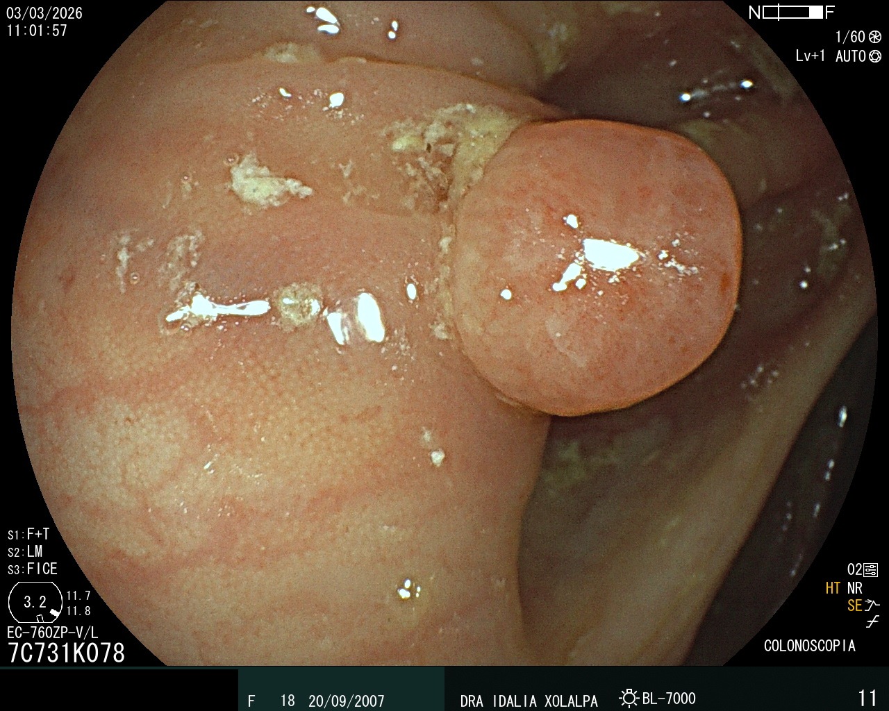
Pólipo de Colon

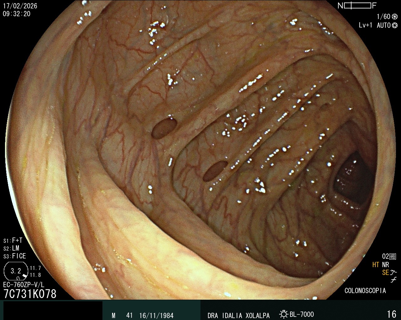
Colon Normal

Divertículos

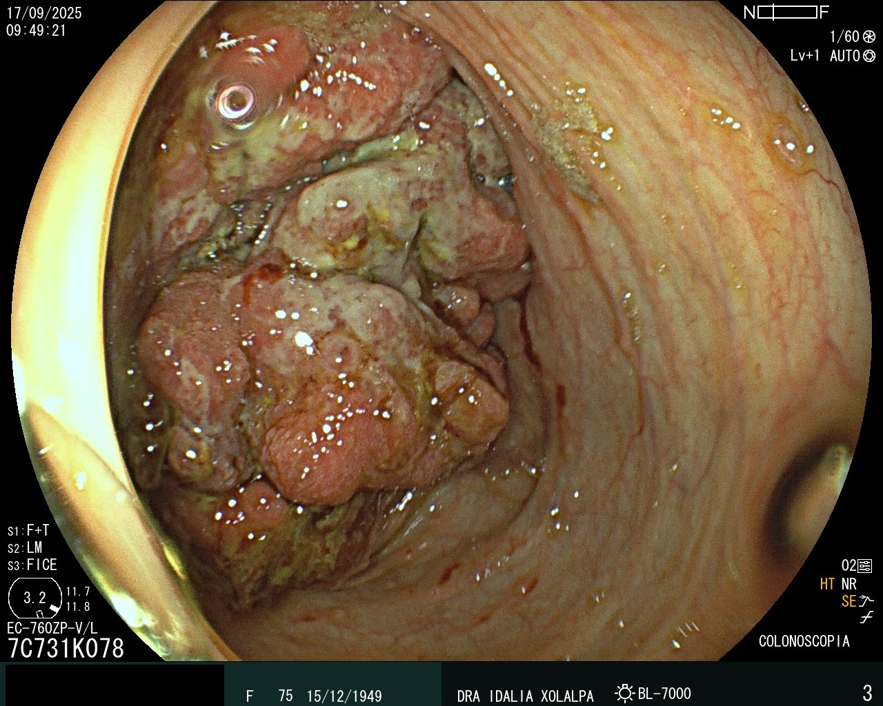
Tumor de Colon
Precio Integral
$7,900
Colonoscopia Diagnóstica
- Sedación segura por anestesiólogo
- Honorarios médicos
- Uso de instalaciones
- Materiales especializados
- Resultados e interpretación el mismo día
El precio es integral e incluye sedación segura y materiales especializados. Insumos adicionales por hallazgos terapéuticos (biopsias, retiro de pólipos) se informarán previamente.
Precios vigentes a partir de enero 2026. Consulta disponibilidad al agendar.