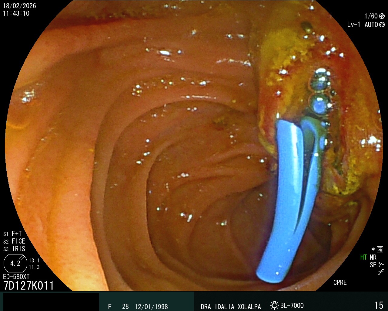
CPRE
Colangiopancreatografía Retrógrada Endoscópica
Procedimiento endoscópico avanzado para el diagnóstico y tratamiento de enfermedades de las vías biliares y el páncreas.
Consulta de valoración requerida. Debido a que cada caso requiere un abordaje personalizado, es indispensable una consulta de valoración previa para determinar el plan quirúrgico y brindar un presupuesto hospitalario preciso.

¿Qué es la CPRE?
La Colangiopancreatografía Retrógrada Endoscópica (CPRE) es un procedimiento que combina la endoscopia con fluoroscopía (rayos X) para acceder directamente al conducto biliar y pancreático. Permite tanto el diagnóstico como el tratamiento en un solo tiempo quirúrgico.
Indicaciones principales
- Cálculos en vía biliar (coledocolitiasis)
- Obstrucción biliar por tumores
- Pancreatitis biliar
- Colocación de prótesis biliares
- Esfinterotomía endoscópica
- Estenosis de vía biliar
Durante la consulta se revisarán tus estudios previos y se definirá el plan de tratamiento.
Casos Clínicos

CPRE Diagnóstica

Prótesis Biliar
Preguntas Frecuentes
¿Por qué necesito una consulta de valoración?
¿La cirugía es de mínima invasión?
¿Aceptan seguros médicos?
¿Dónde se realiza la cirugía?
Nuestra consulta está enfocada en cirugía programada. En caso de dolor súbito intenso, fiebre o síntomas de urgencia, acudir de inmediato a un servicio hospitalario.